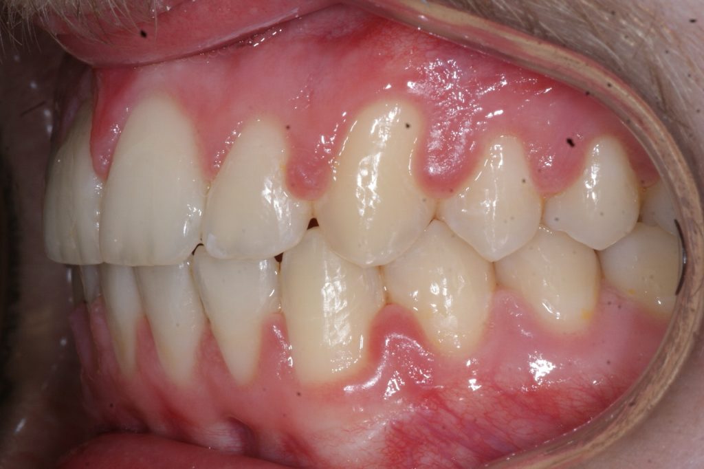
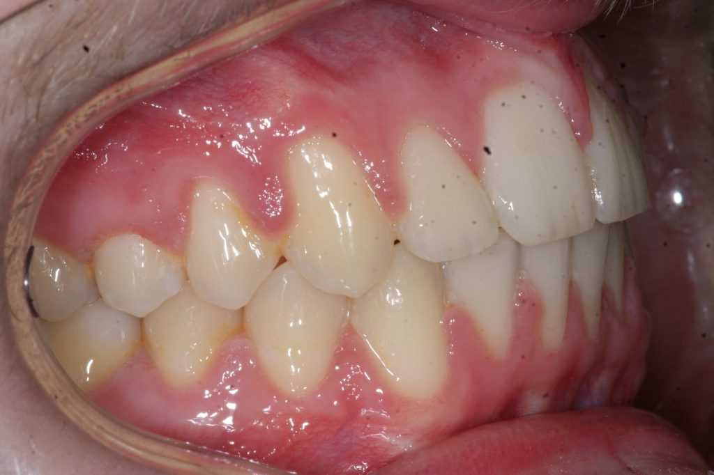
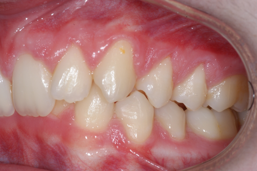
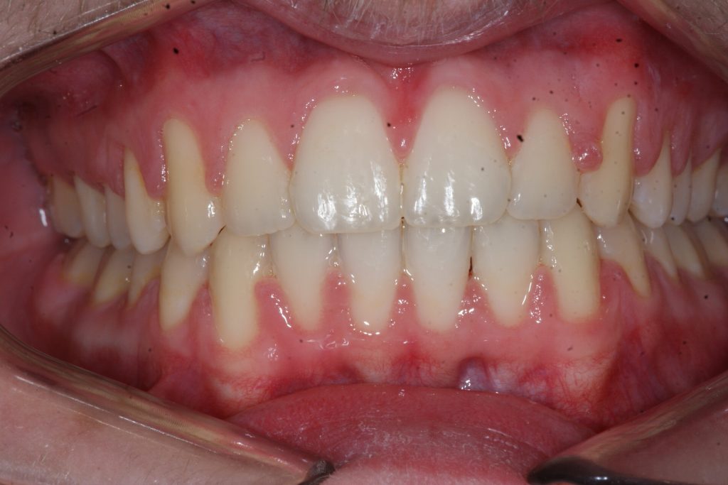
Surplomb vertical

Appareils fixes (boîtiers)

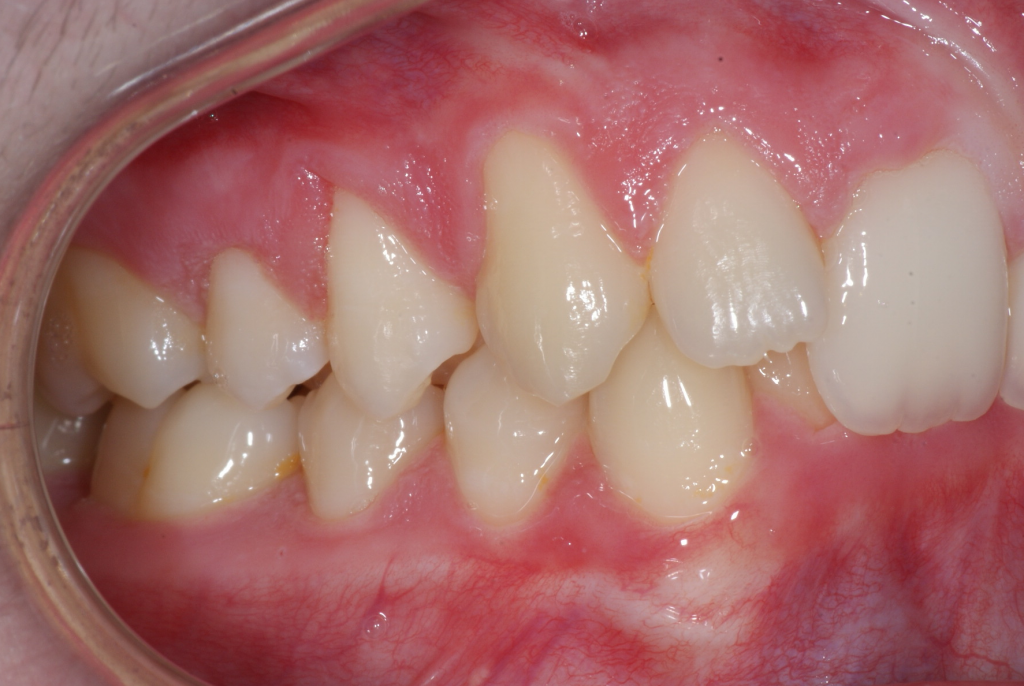
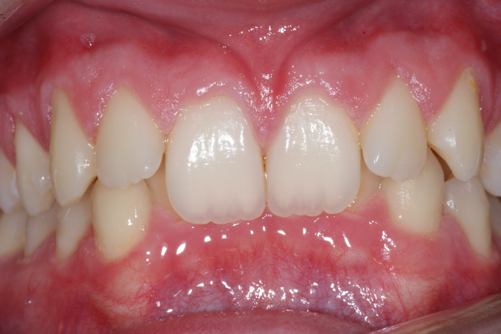
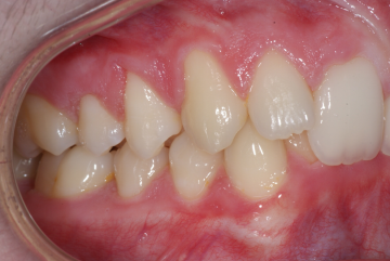
Correction d’une malocclusion de type Classe II.  Des appareils fixes (boîtiers) furent nécessaires pour améliorer ce sourire.  Traitement chez un adolescent, réalisé en 19 mois.

Retour aux études de cas