Surplomb vertical

Appareils fixes (boîtiers)

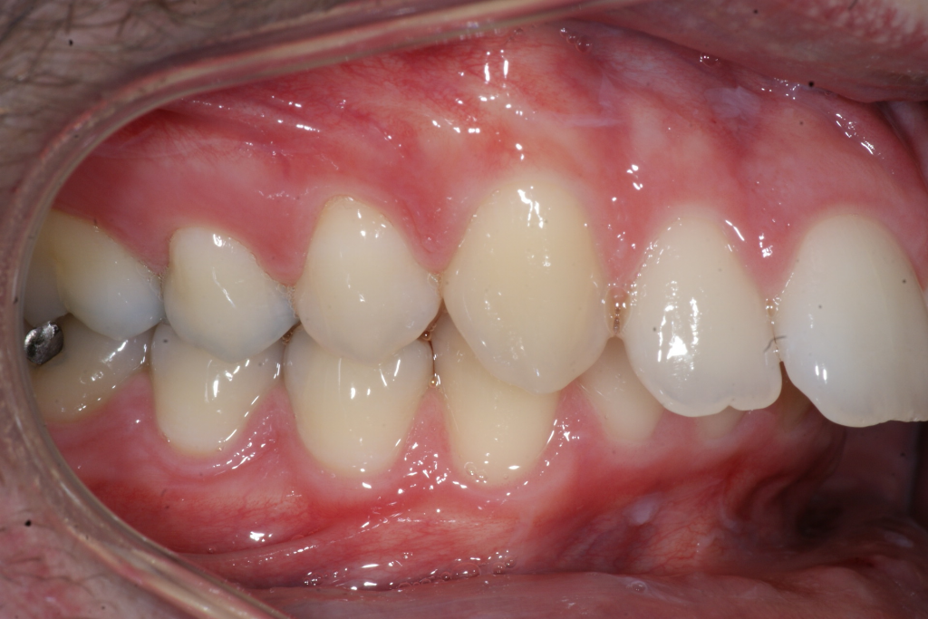
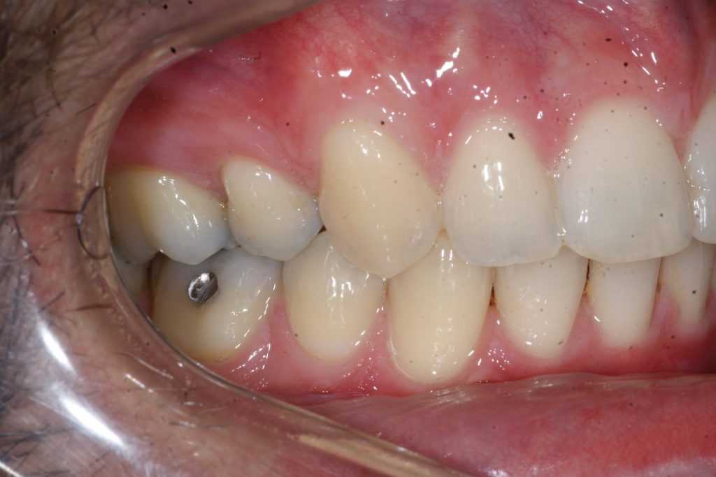
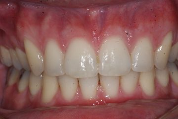
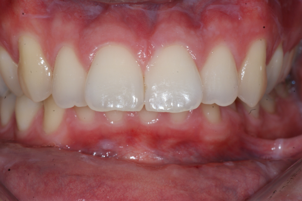
Correction d’une malocclusion de type Classe II division 1 avec surplombs prononcés et lignes médianes déviées.  L’extraction de 4 prémolaires (#14-24-35-45) ainsi que des appareils fixes (boîtiers) furent nécessaires pour améliorer ce sourire.  Traitement chez un adulte, réalisé en 27 mois.

Retour aux études de cas