MENU

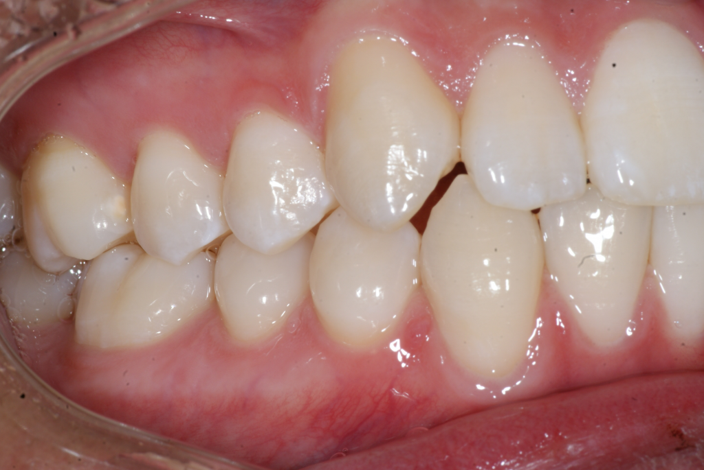
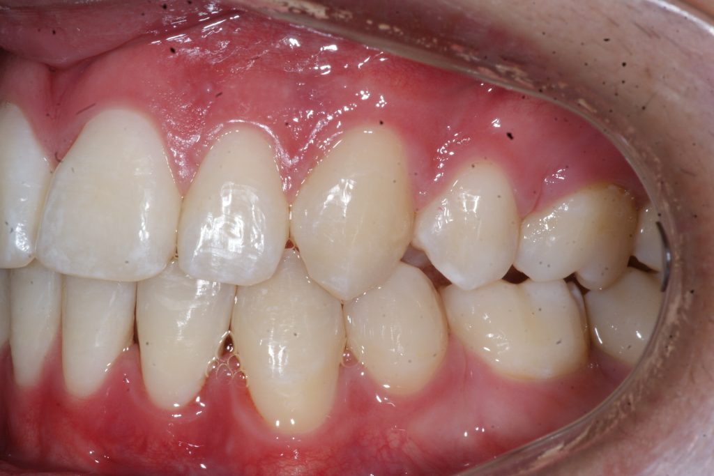
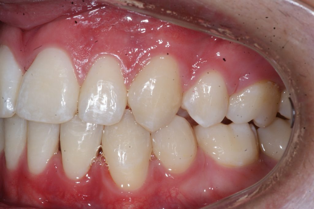
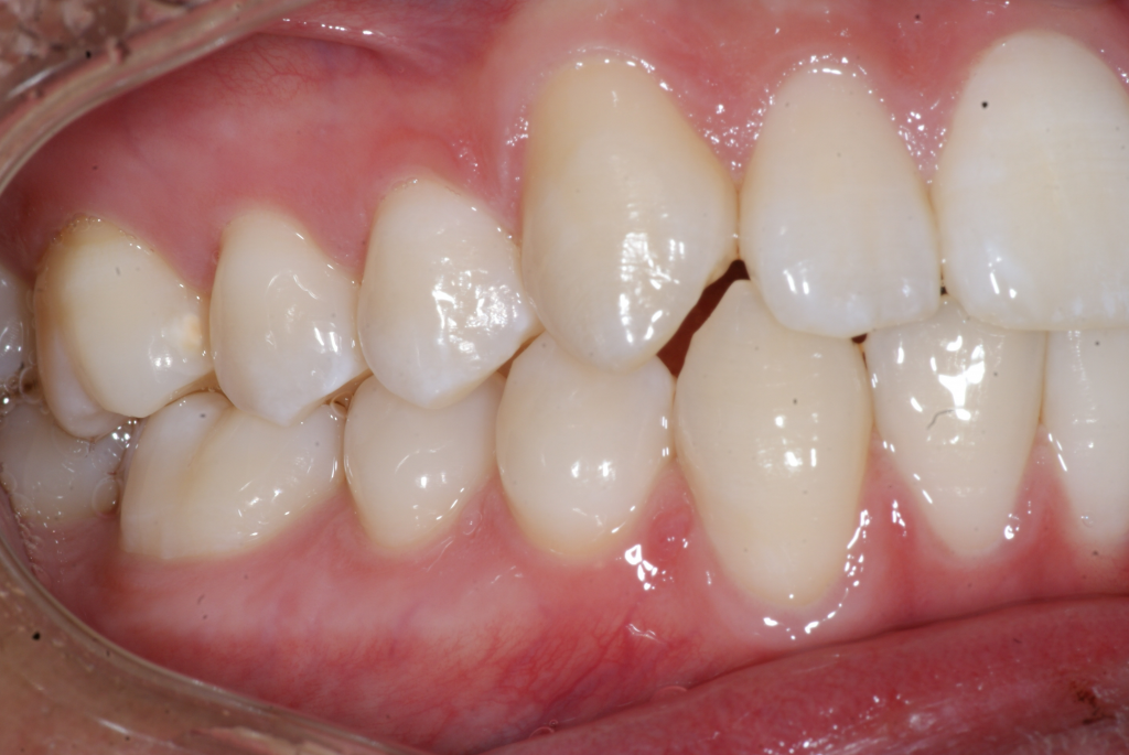
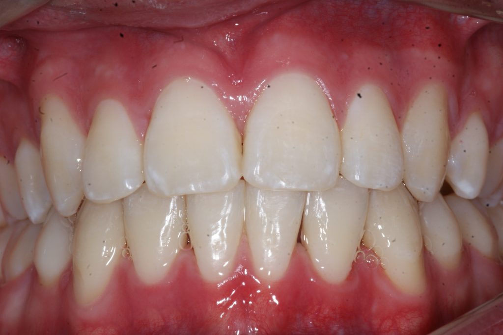
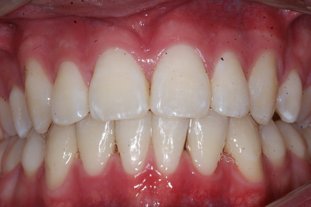
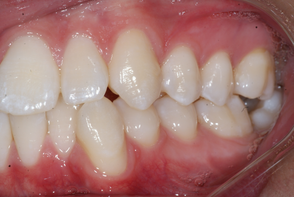
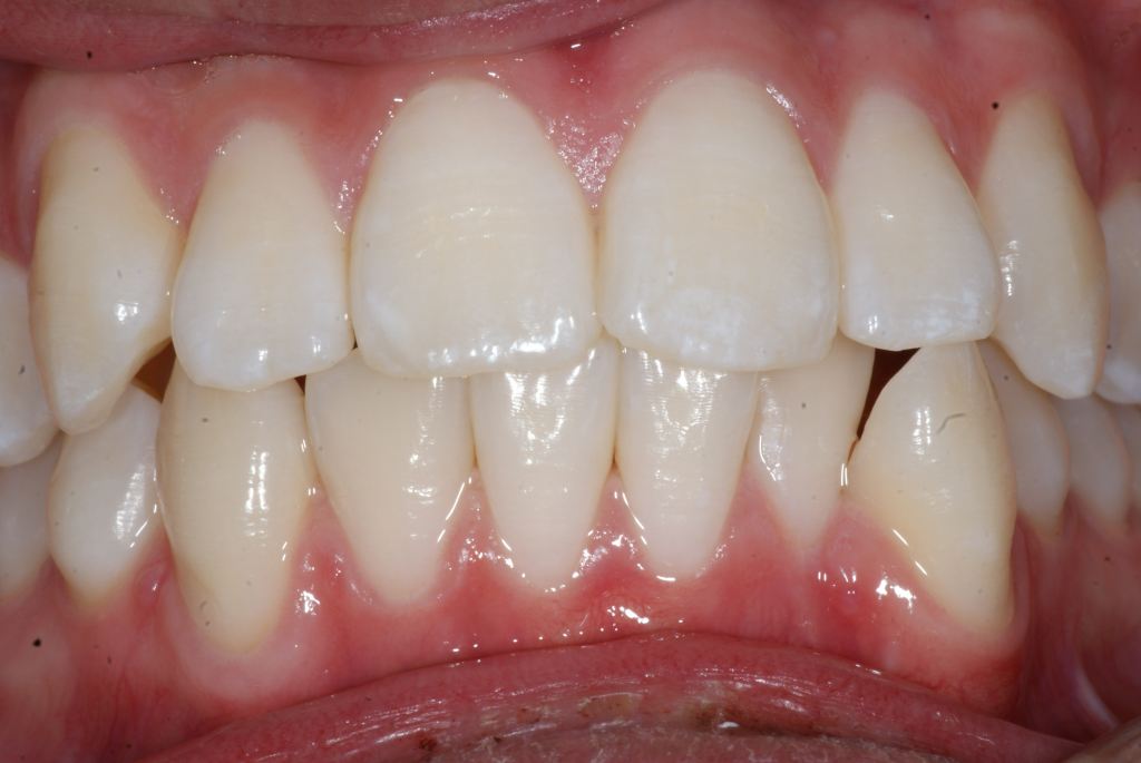
Proclinaison des incisives antérieures

Appareils fixes (broches)

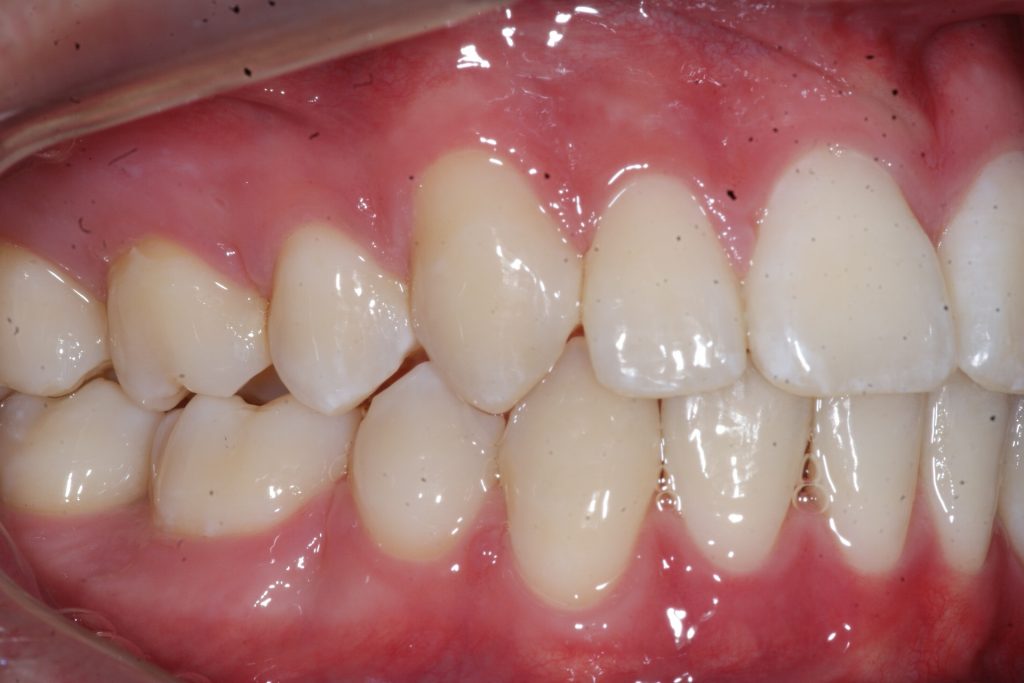
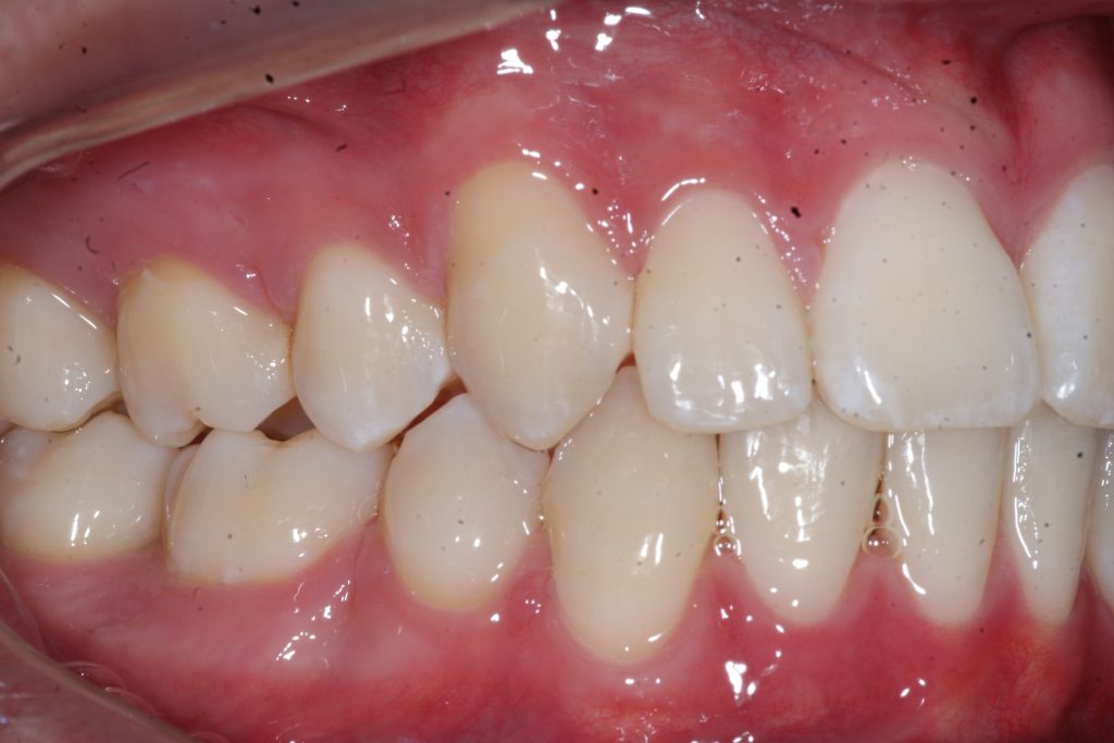
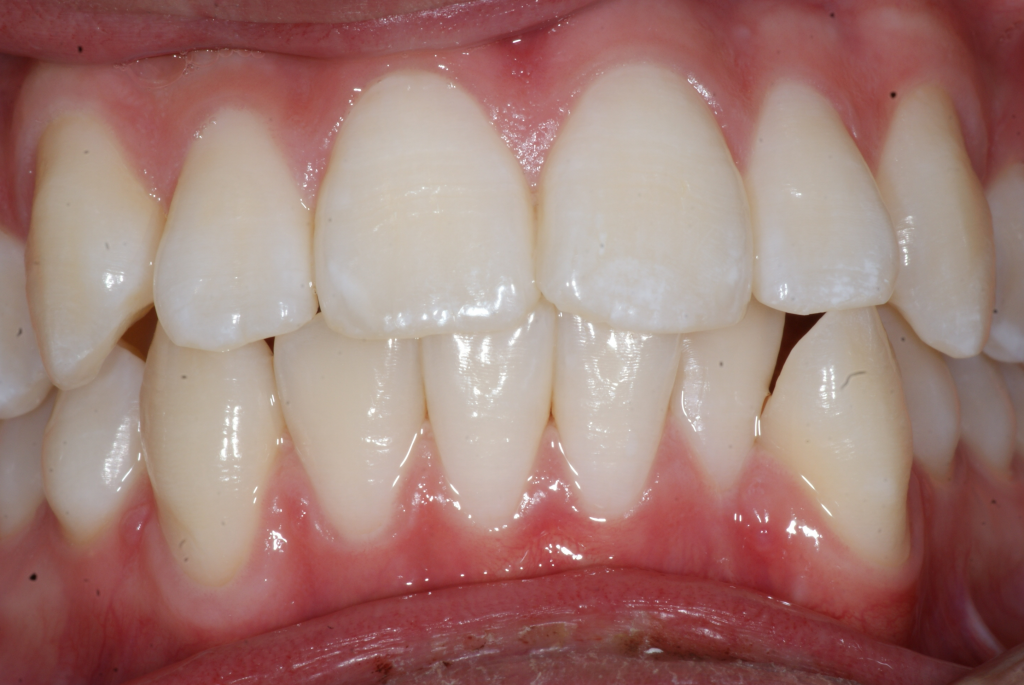
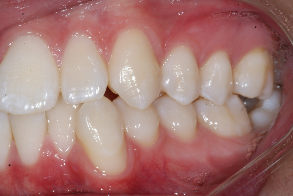
Correction d’une malocclusion de type bimax, canine #33 ectopique et chevauchement léger aux 2 arcades.  Des appareils fixes (broches) et extraction de 4 prémolaires furent nécessaires pour améliorer ce sourire.  Traitement chez un jeune adulte, réalisé en 28 mois.

Retour aux études de cas

« Merci merci merci , On vient de recevoir la carte avec les photos de avant et maintenant, quelle belle attention. Nous avons été tellement bien accueillis chez vous , du plaisir du début à la fin du traitement. Votre excellent service et tous vos attentions personnalisées nous ont fait vivre une mémorable expérience. En plus le résultat est parfait, nous sommes très très satisfaits. On vous recommande à tout le monde . Mille merci!! »

- De Britany 13 ans et sa maman ❤️

Découvrir d'autres témoignages

« Un très bon orthodontiste, j'ai été très satisfaite du résultat pour ma fille! »

- Mme Joseph

Découvrir d'autres témoignages

« Je remercie toute votre belle équipe pour mon traitement, c'est de loin la plus belle chose que j'ai fait de ma vie et je vous en suis très reconnaissant! »

- Vincent

Découvrir d'autres témoignages

« Enfin, après 25 mois de traitement, je peux dire mission plus qu’accomplie. Dr Bernard et sa fabuleuse équipe mon donné un magnifique sourire et je souris à pleine dents. L’équipe est tellement merveilleuse et chaleureuse, on s’y sent comme dans une deuxième famille. Pour tout ceux qui ont des doutes ou des peurs, allez-y, foncez. Vous ne regretterez pas votre choix. De l’évaluation aux traitements, tous vous mettent à l’aise. Un gros merci à tous! »

- Katarina

Découvrir d'autres témoignages

« Aujourd’hui, c’est la fin de ce parcours entrepris. Je suis très fier non seulement parce que c’est fini, je le suis parce que vraiment, le résultat est au delà de mes attentes. Cet accomplissement, je le dois à quelqu’un ou plutôt à une équipe. C’est d’une main de maître que Dr Bernard et son personnel ont mené mes rêves à la réalité. Mille fois merci à vous tous d’être autant investis et impliqués, c’est votre distinction propre. Je conseille fortement l’équipe de Dr Bernard pour réaliser vos projets sans quoi, vous n’aimerez pas l’expérience. »

- Guillaume

Découvrir d'autres témoignages

« J’aimerais dire un merci spécial au Dr Denis Bernard et sa merveilleuse équipe, le Dr Christian Lapointe (Dentiste), le Dr Jean-François Aubin (Chirurgien buccal et maxillo-facial) et mes parents sans qui tout ça n’aurait pu être possible. J’ai vécu de l’intimidation de mon primaire jusqu’à la fin de mon secondaire où j’ai eu mes broches. C’est en ayant accepté de vivre cette aventure hors du commun que j’ai repris goût à la vie, que la confiance en moi est revenue et que j’ai enfin pu aller travailler dans le public où jamais je n’aurais pensé me retrouver avec le sourire que j’avais. C’est donc après une expansion palatine orthodontique, les prémolaires et les dents de sagesses en moins ainsi qu’une chirurgie de la mâchoire supérieure avec le menton que j’ai retrouvé le sourire d’une personne fière, vivante et épanouie. Je ne remercierai jamais assez tous ces spécialistes qui m’ont aidé à y parvenir. J’ai conscience que le parcours n’a pas été de tout repos. J’aimerais seulement dire : Ne perdez pas espoir et battez-vous pour vos rêves. C’est ce que moi j’ai fait. J’ai décidé d’être bien dans ma peau et d’être heureuse. Merci 1000x à tous!! »

- Joëlle

Découvrir d'autres témoignages

« « Voici le moment des révélations, le fameux AVANT/APRÈS! Eh oui, après exactement 1 an, 2 mois et 2 semaines de traitement orthodontique de coquilles Invisalign, me voici avec le sourire transformé! Si vous ne voyez pas la différence, bin moi en tout cas je la vois et je suis TRÈS contente! Merci au Dr Denis Bernard pour ce merveilleux résultat ! » Merci Anne-Julie ! »

- Anne-Julie

Découvrir d'autres témoignages

« Merci à Dr Denis Bernard de m'avoir aidée à remonter mon estime de moi! J'avais des dents que je qualifiais de monstrueuses, je ne voulais jamais les montrer. Je trouve franchement que c'est un miracle ce qu'il a réussi à faire en environs 2 ans. Merci beaucoup! »

- M.P.

Découvrir d'autres témoignages

« Bravo à Dr Denis Bernard et son staff pour leur professionnalisme et dynamisme.  Des rendez-vous et suivis efficaces. Trouve toujours des solutions rapides.  Sans aucun doute je recommande cette entreprise! »

- Jean-Guy R.

Découvrir d'autres témoignages

« Mon expérience orthodontique fut vraiment agréable. Dr Bernard a pris le temps de m’expliquer les étapes de mon traitement et son professionnalisme m’a tout de suite mise en confiance. L’ensemble de l’équipe de la clinique est très accueillant et professionnel. Et l’ambiance y est chaleureuse. Maintenant je souris à pleine dents et je suis fière de référer mon orthodontiste à mon entourage!  »

- Francine

Découvrir d'autres témoignages

« Du moment où j’ai mis les pieds dans la clinique, j’aimais déjà le dynamisme et le professionnalisme du Dr Bernard qui m’a rapidement mise en confiance. Tout au long de mon traitement, le personnel rendait mes visites à la clinique, agréables avec leur bonne humeur et leur grande gentillesse. J’ai donc développé des liens rapidement. Très belle expérience et aujourd’hui, mon sourire c’est ce dont je suis le plus fière. Merci Docteur :) »

- Danyka

Découvrir d'autres témoignages

« L'équipe pour moi a vraiment contribué énormément, des hygiénistes jusqu’aux secrétaires, vraiment tous du bon monde et même si ça n'affecte pas le résultat final ça rend le processus tellement plus agréable! Ce n'est pas peu dire, j'avais hâte à mes rendez-vous! Je me rappelle le proverbe écrit dans la salle de traitement: ‘’Un sourire ne coûte rien, mais il rapporte beaucoup; il enrichit celui qui le reçoit sans appauvrir celui qui le donne’’. Le personnel m'a toujours accueilli avec ce genre de sourire et, au-delà de mes belles dents, c'est un souvenir qui me restera longtemps. »

- Jocelyn T.

Découvrir d'autres témoignages

« Dr Bernard je l’ai adoré pour mes 2 enfants ma fille ne voulait pas d’élargissement du palais et il l’a respecté avec d’autres façons de faire et maintenant elle a des dents magnifiques!!! Et il a su me donner des prix justes! Et une très bonne approximation du temps du traitement 18 mois pour ma fille et 20 mois pour mon fils!!! Jamais d’attente pour les rendez-vous !!! Tu passes à l’heure!!! Et je pourrais en dire plus ..... »

- Nancy B.

Découvrir d'autres témoignages

« À toute l'équipe du centre orthodontique de Dr Denis Bernard, un énorme grand "MERCI" pour avoir rendu possible la chirurgie et les traitements qui font que ma fille Ariane Duquette a enfin trouvé "l'estime de soi". Sûrement un des plus beau cadeaux que je lui ai offert. 
Merci pour le support que tout le personnel nous a donné durant tout le traitement pour enfin rendre possible cette grosse transformation. Elle est très belle maintenant ma fille... »

- Chantal

Découvrir d'autres témoignages

« Dr Bernard est facile d’approche et convivial avec ses patients. »

- Daisy R.

Découvrir d'autres témoignages