Invisalign®

Appareils amovibles Invisalign®

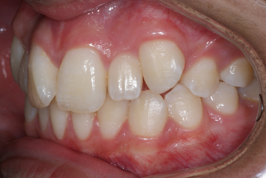
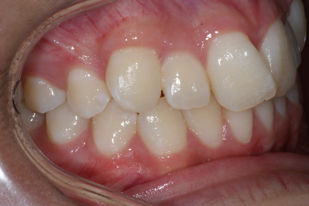
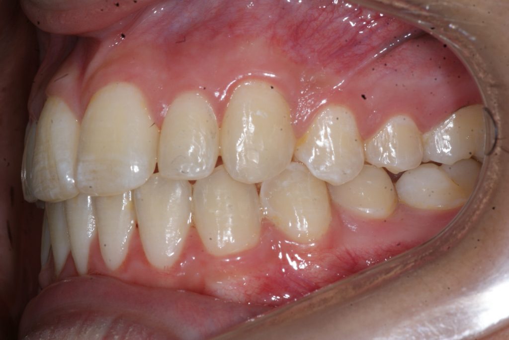
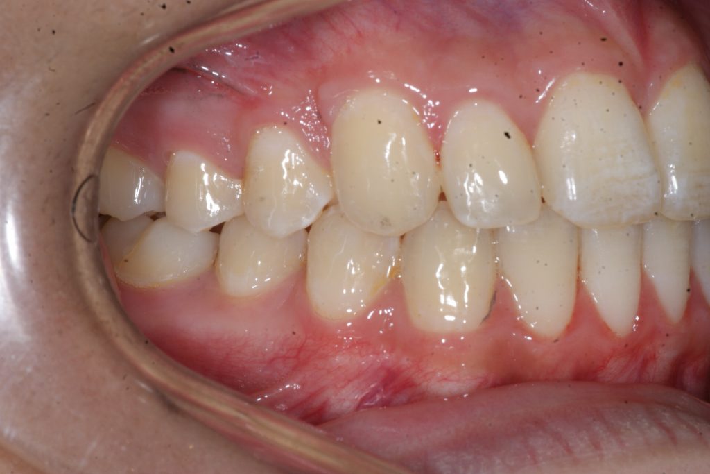
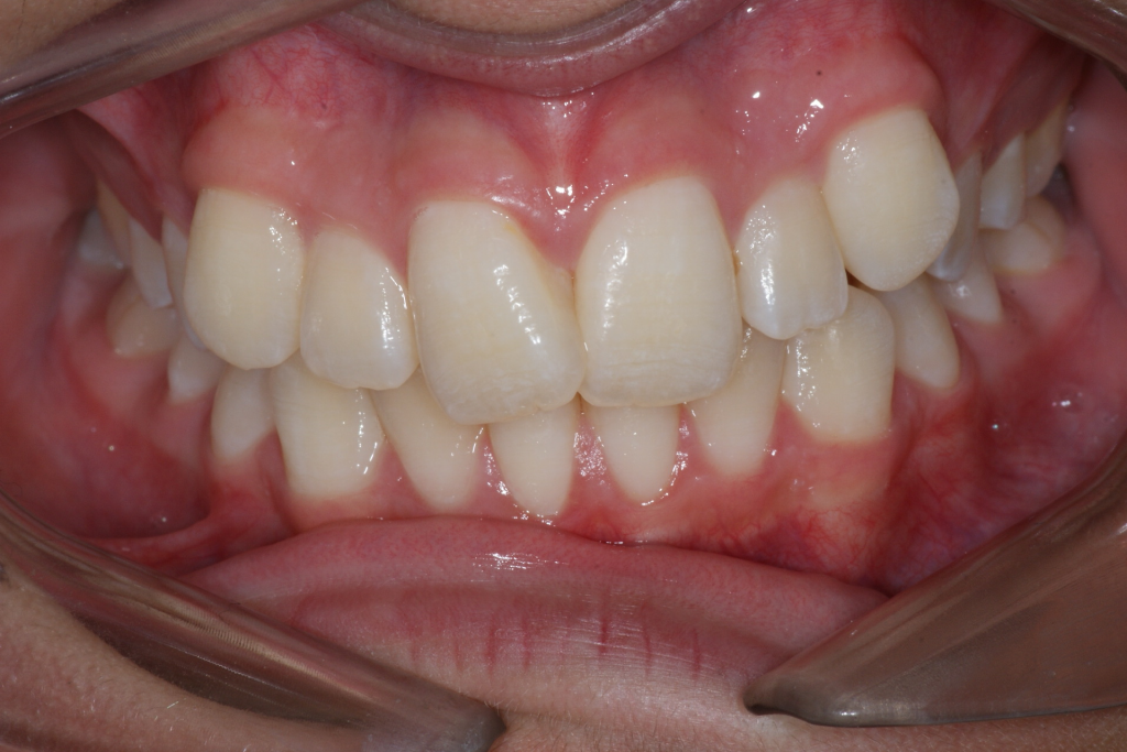
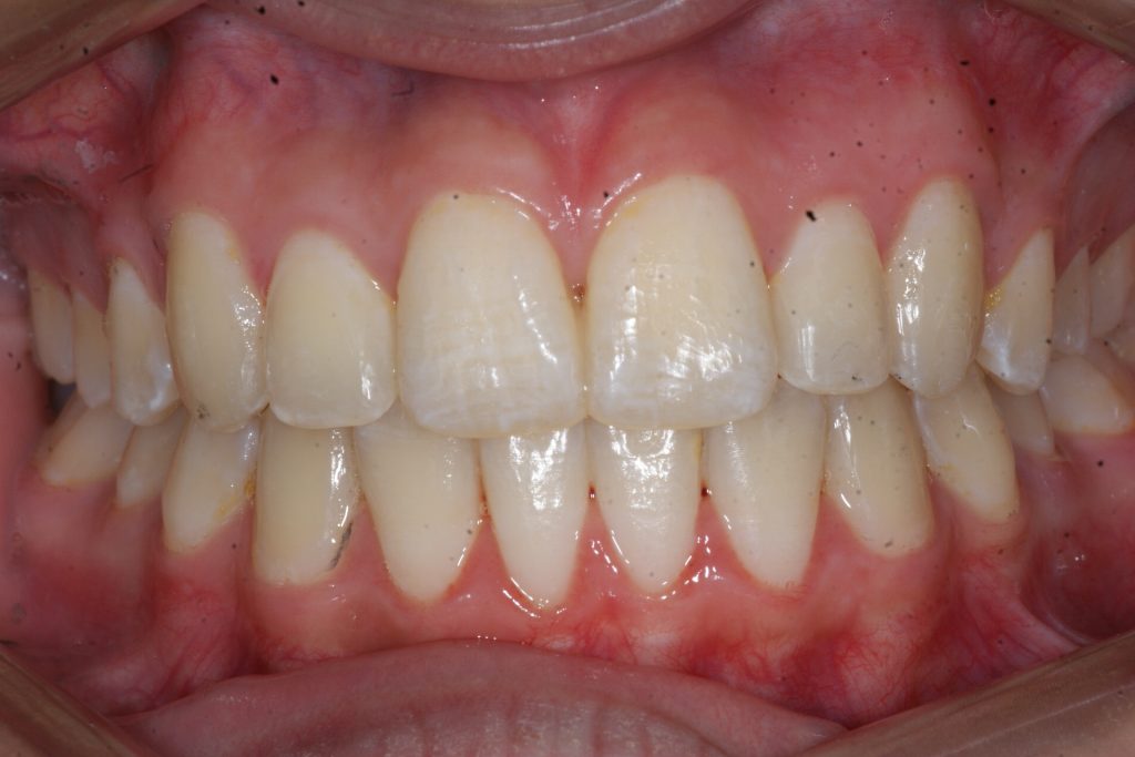
Correction d’une malocclusion de type Classe I avec chevauchement modéré aux 2 arcades.  Des appareils amovibles (coquilles Invisalign®) furent nécessaires pour améliorer ce sourire.  Traitement chez une adolescente, réalisé en 21 mois.

Retour aux études de cas