Invisalign®

Appareils amovibles Invisalign®

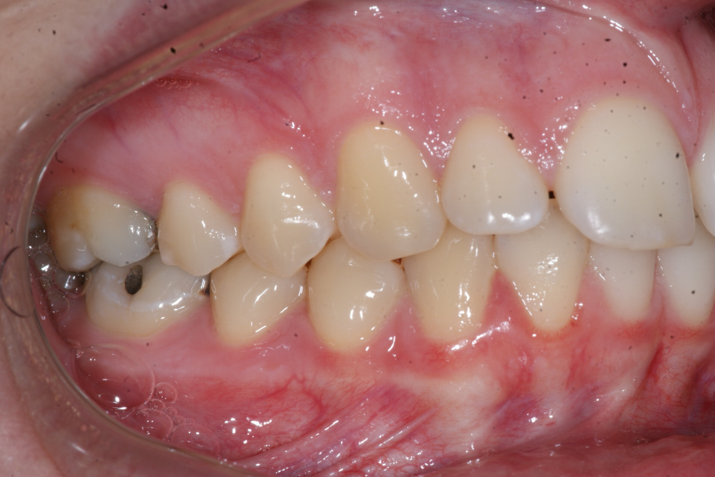
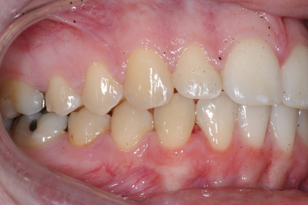
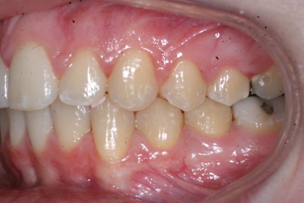
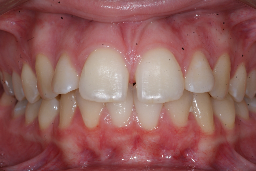
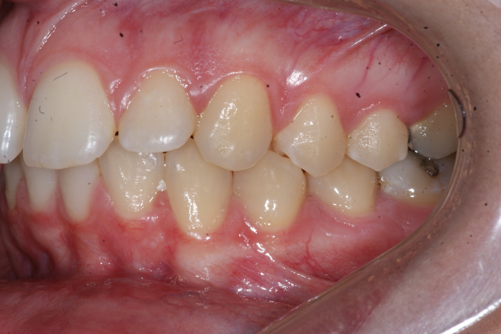
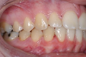
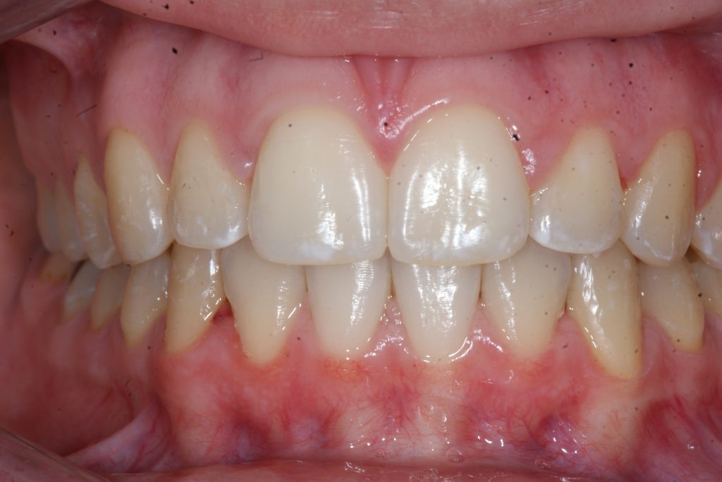
Correction d’une malocclusion de type Classe I avec diastèmes à l’arcade supérieure.  Des appareils amovibles (coquilles Invisalign®) furent nécessaires pour améliorer ce sourire.  Traitement chez une jeune adulte, réalisé en 20 mois.

Retour aux études de cas