Invisalign®

Appareils amovibles Invisalign®

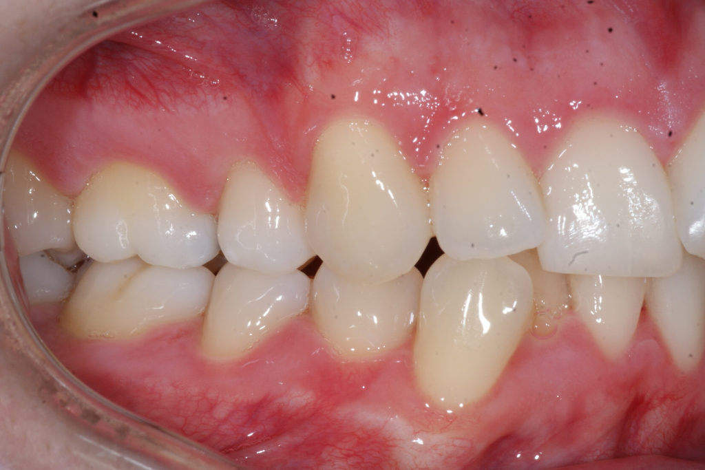
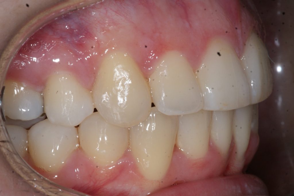
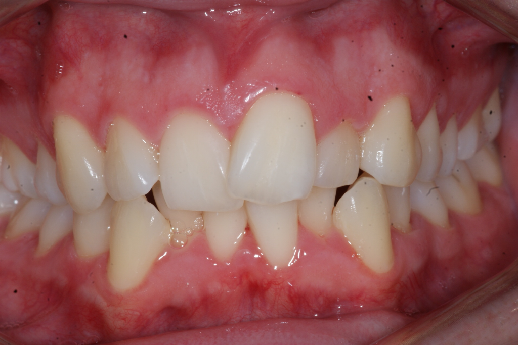
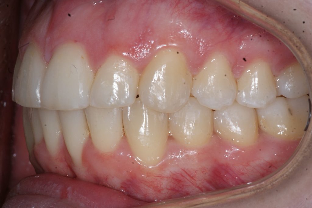
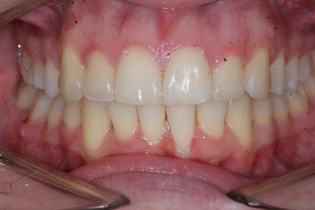
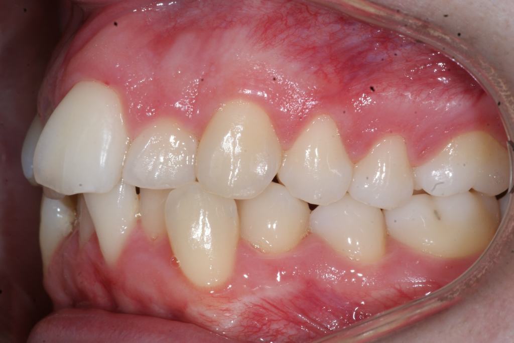
Correction d’une malocclusion de type Classe II subdivision et surplombs inadéquats.  64 coquilles Invisalign® et l’extraction d’une prémolaire à l’arcade supérieure (#14) furent nécessaires pour améliorer ce sourire.  Traitement chez une jeune adulte, réalisé en 20 mois.

Retour aux études de cas