Invisalign®

Appareils amovibles Invisalign®

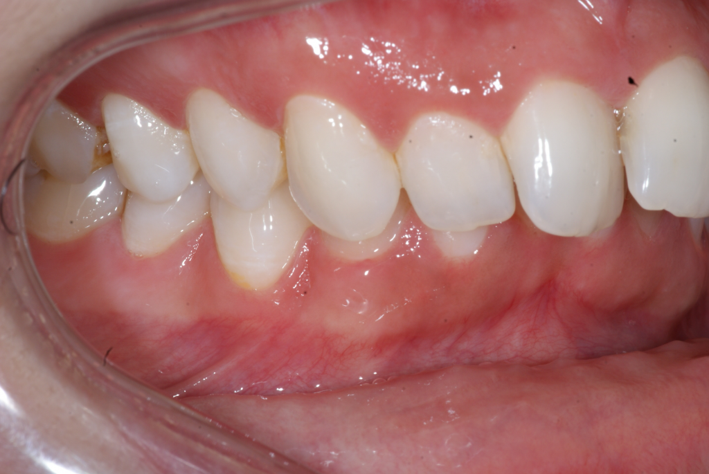
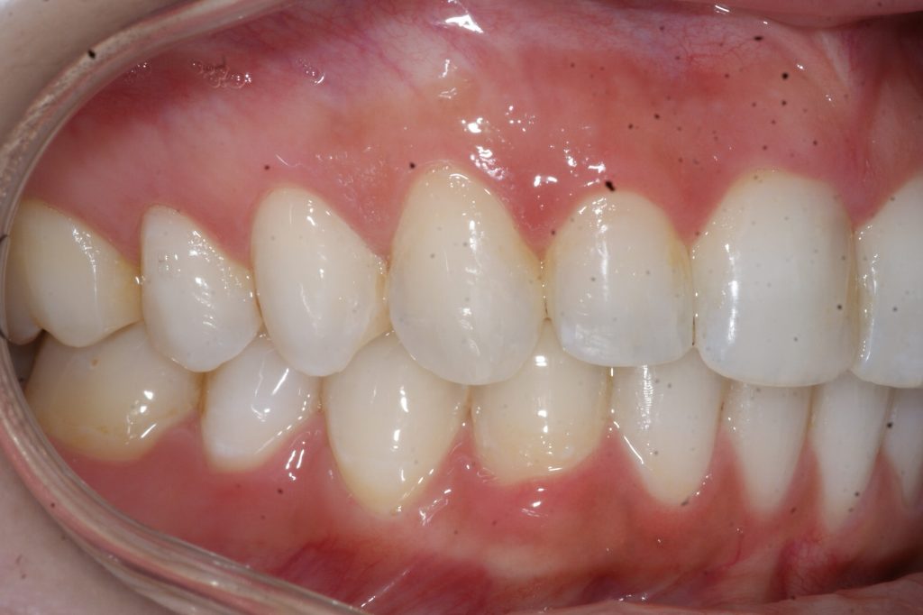
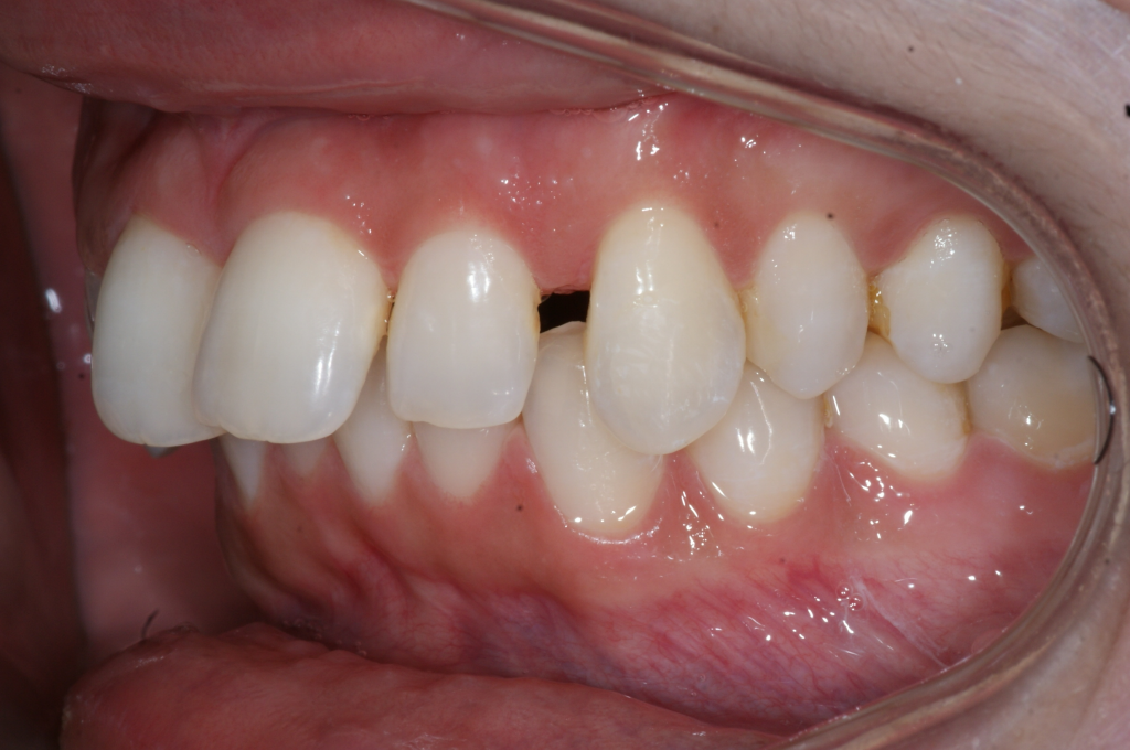
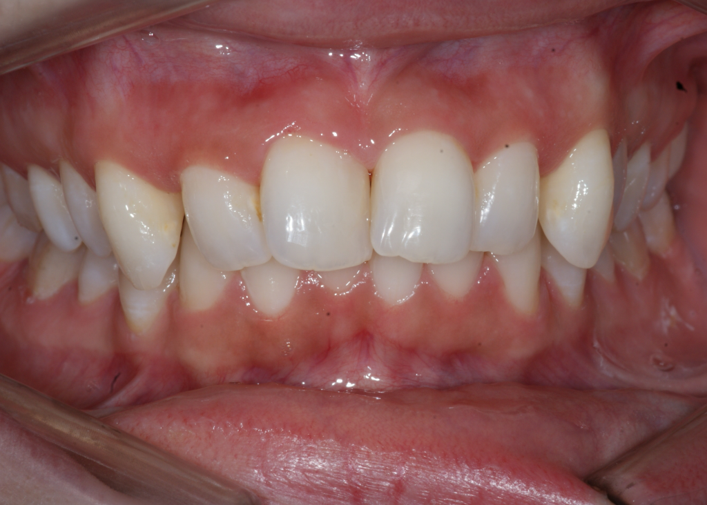
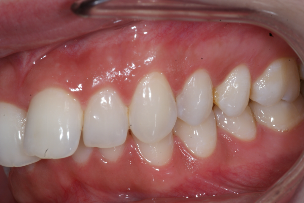
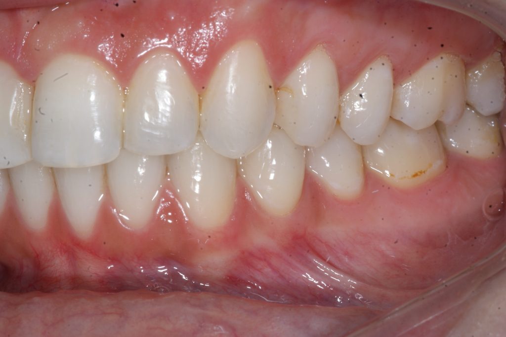
Correction d’une malocclusion de type Classe II division 2 et surplombs inadéquats.  Un appareil Carriere® et 85 coquilles Invisalign® furent nécessaires pour améliorer ce sourire.  Traitement chez une jeune adulte réalisé en 24 mois.

Retour aux études de cas