Invisalign®

Appareils amovibles Invisalign®

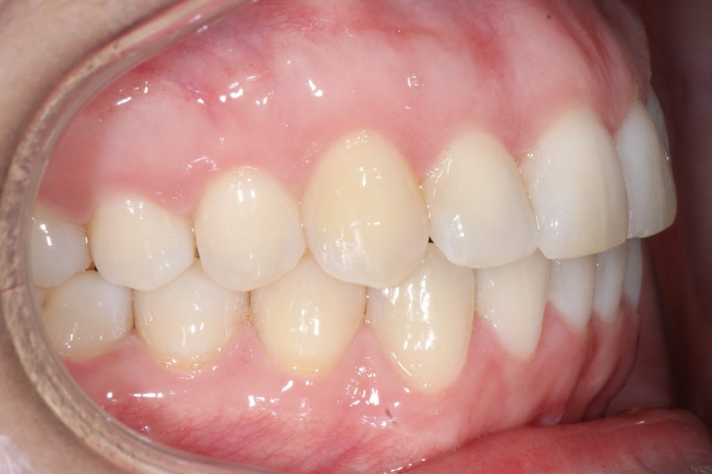
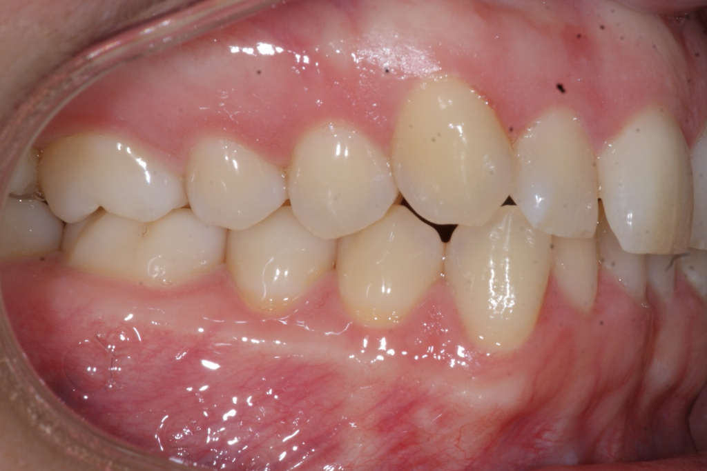
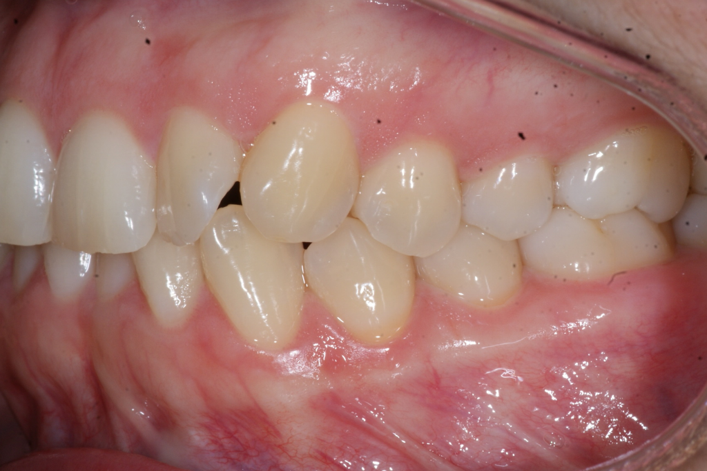
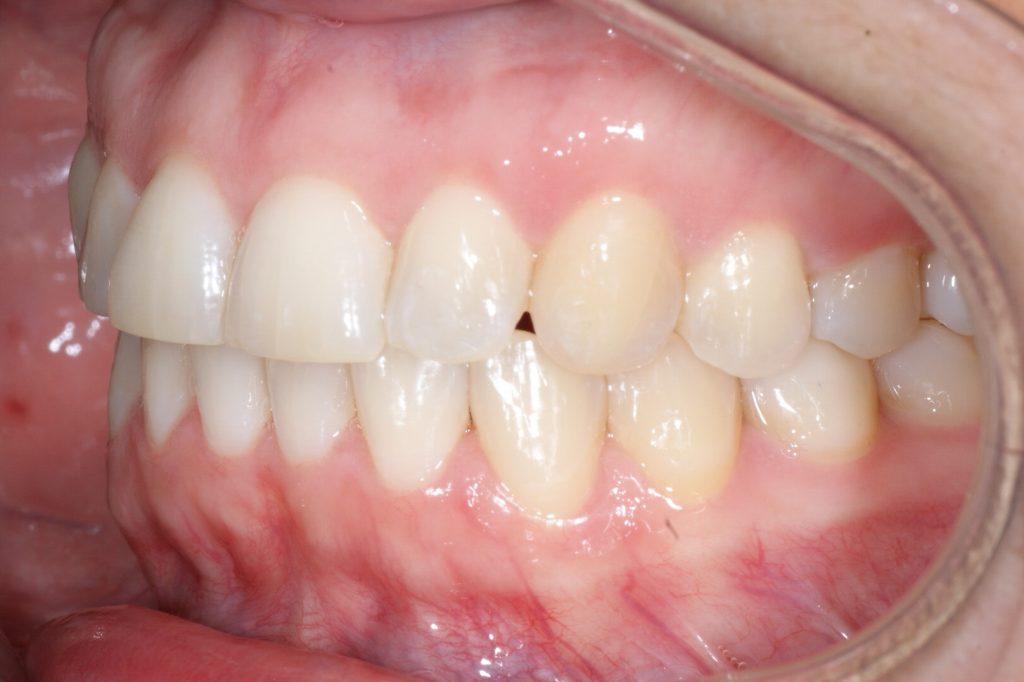
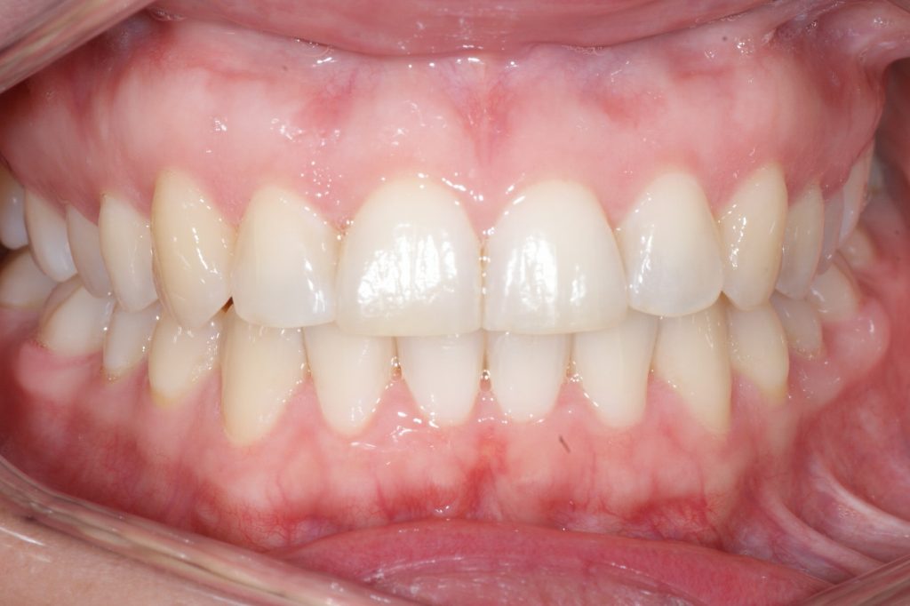
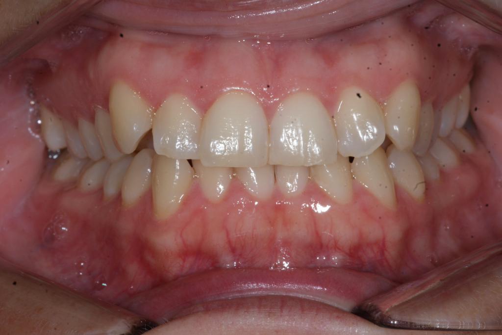
Correction d’une malocclusion de type Classe I, surplombs inadéquats et chevauchement modéré aux 2 arcades.  57 coquilles furent nécessaires pour améliorer ce sourire.  Traitement chez une adulte, réalisé en 15 mois.

Retour aux études de cas