Béance occlusale

Béance occlusale - Étude de cas 3

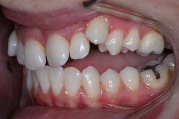
Correction de béances occlusales bilatérales et d’articulés croisés bilatéraux à l’aide des coquilles Invisalign® précédée d’une expansion palatine rapide assistée chirurgicalement.    67 coquilles furent nécessaires.  Traitement chez une patiente de 24 ans réalisé en 21 mois.

 

 

 

Retour aux études de cas